Hemorrhagic Ovarian Cyst
Ovarian cysts are a common phenomenon in women of reproductive age, affecting an estimated 8-18% of the female population. While many of these cysts are benign and resolve on their own, some can cause significant discomfort, pain, and even lead to more severe complications. One such complication is the hemorrhagic ovarian cyst, a condition where an ovarian cyst fills with blood, leading to a range of symptoms and potential health risks.
To understand the complexity of hemorrhagic ovarian cysts, it’s essential to delve into the anatomy and physiology of the female reproductive system. The ovaries, two small, oval-shaped organs located on either side of the uterus, are responsible for producing eggs (oocytes) and hormones that regulate the menstrual cycle. Each month, a follicle in the ovary grows, matures, and releases an egg through a process called ovulation. Sometimes, however, the follicle doesn’t rupture to release the egg, and instead, it continues to grow, forming a cyst.
There are several types of ovarian cysts, including functional, dermoid, cystadenoma, and endometrioma. Functional cysts, the most common type, are usually related to the menstrual cycle and resolve on their own. Dermoid cysts, on the other hand, are a type of benign tumor that can contain a range of tissues, including hair, skin, and teeth. Cystadenomas are non-cancerous growths that arise from the outer surface of the ovary, while endometriomas are cysts filled with old blood and are often associated with endometriosis.
Hemorrhagic ovarian cysts, in particular, occur when there is bleeding into the cyst, often due to the rupture of blood vessels within the cyst wall. This can cause the cyst to fill with blood, leading to a range of symptoms, including severe pelvic pain, vaginal bleeding, and nausea. In some cases, the bleeding can be minor, and the cyst may resolve on its own. However, in more severe cases, the bleeding can be significant, leading to a condition called hemoperitoneum, where blood accumulates in the abdominal cavity.
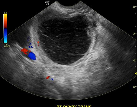
The diagnosis of a hemorrhagic ovarian cyst typically involves a combination of physical examination, medical history, and imaging tests. A pelvic exam may reveal a tender, palpable mass in the pelvic region. Ultrasound, computed tomography (CT), and magnetic resonance imaging (MRI) scans can help confirm the presence of a hemorrhagic ovarian cyst and determine its size, location, and potential impact on surrounding tissues.
Treatment for a hemorrhagic ovarian cyst depends on the severity of symptoms, the size and location of the cyst, and the overall health of the patient. Mild cases may be managed conservatively with pain medication, rest, and close monitoring. In more severe cases, however, surgical intervention may be necessary to remove the cyst and prevent further complications. Laparoscopic surgery, a minimally invasive technique, is often used to remove the cyst, while preserving the ovary and surrounding tissues.
To illustrate the complexities of hemorrhagic ovarian cysts, consider the case of a 30-year-old woman who experiences sudden, severe pelvic pain and vaginal bleeding. After a series of imaging tests, including an ultrasound and CT scan, a large hemorrhagic ovarian cyst is diagnosed. Due to the severity of symptoms and the size of the cyst, surgical intervention is deemed necessary. The patient undergoes laparoscopic surgery, and the cyst is successfully removed, relieving her symptoms and preventing further complications.
In addition to surgical treatment, there are several steps that women can take to reduce their risk of developing hemorrhagic ovarian cysts. Maintaining a healthy weight, exercising regularly, and eating a balanced diet can help regulate hormones and reduce the risk of cyst formation. Women who experience symptoms such as pelvic pain, vaginal bleeding, or nausea should seek medical attention promptly to ensure early diagnosis and treatment.
The potential complications of hemorrhagic ovarian cysts cannot be overstated. In severe cases, the cyst can rupture, leading to significant bleeding, infection, and even death. Furthermore, the presence of a hemorrhagic ovarian cyst can increase the risk of infertility, as the cyst can damage the surrounding tissues and compromise ovarian function.
In conclusion, hemorrhagic ovarian cysts are a significant health concern that affects thousands of women each year. While the condition can be managed and treated with prompt medical attention, it’s essential for women to be aware of the signs and symptoms, as well as the potential risks and complications. By understanding the complexities of this condition, women can take proactive steps to reduce their risk and seek medical attention if symptoms arise.
According to the American College of Obstetricians and Gynecologists (ACOG), ovarian cysts are a common cause of pelvic pain and vaginal bleeding in women of reproductive age. Hemorrhagic ovarian cysts, in particular, require prompt medical attention to prevent complications and ensure optimal treatment outcomes.
Causes and Risk Factors

The exact causes of hemorrhagic ovarian cysts are not fully understood, but several risk factors have been identified. These include:
- Family history of ovarian cysts or ovarian cancer
- Previous pelvic surgery or trauma
- Hormonal imbalance or polycystic ovary syndrome (PCOS)
- Early onset of menstruation or late menopause
- Infertility or difficulty conceiving
Symptoms and Diagnosis

The symptoms of a hemorrhagic ovarian cyst can vary depending on the size and location of the cyst, as well as the severity of bleeding. Common symptoms include:
- Sudden, severe pelvic pain
- Vaginal bleeding or spotting
- Nausea and vomiting
- Abdominal tenderness or guarding
- Rebound tenderness or abdominal rigidity
What are the symptoms of a hemorrhagic ovarian cyst?
+The symptoms of a hemorrhagic ovarian cyst can include sudden, severe pelvic pain, vaginal bleeding or spotting, nausea and vomiting, abdominal tenderness or guarding, and rebound tenderness or abdominal rigidity.
How is a hemorrhagic ovarian cyst diagnosed?
+A hemorrhagic ovarian cyst is typically diagnosed through a combination of physical examination, medical history, and imaging tests, including ultrasound, computed tomography (CT), and magnetic resonance imaging (MRI) scans.
What are the treatment options for a hemorrhagic ovarian cyst?
+Treatment for a hemorrhagic ovarian cyst depends on the severity of symptoms, the size and location of the cyst, and the overall health of the patient. Mild cases may be managed conservatively with pain medication, rest, and close monitoring, while more severe cases may require surgical intervention to remove the cyst and prevent further complications.